
Following my diagnosis of a ruptured disk I’ve been to Bridgwater again to see my physio, Ivor, to get my treatment plan started
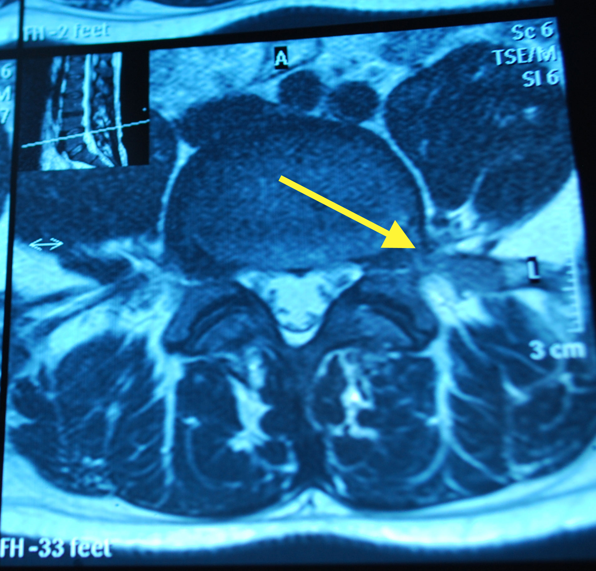
I’ve also come back with copies of my scans. Its very bizarre to sit there and look at slices through your own body. Forget losing weight so you look good in your holiday or wedding photos, try an MRI. There is no turning your best side to the camera or wearing stripes the right way round to hide/accentuate your curves. It shows all your fat, in lovely cross sectional detail. Cath also pointed out that she can see poo in some of the films! Nice…..
Anyway, on to treatment.
Firstly, I need to be very careful. No dynamic loaded stretching, twisting or impacts, which, in English, means no DIY, gardening, lifting, running or mountain biking for at least a couple of months.
Essentially I need to learn to think before I do anything daft, which is a lesson I suppose I should have learnt earlier this year when I jumped off that wall, however, Ivor thinks its been coming all summer and that the jump was just one of the causes.
Apparently, I’ve also got a dehydrated disc on the next one up (L3/4) which might cause me issues in later life if I’m not careful with impacts, too.
I’ve been tractioned and given a portable traction machine to use three times a day for the next month or so. This essentially stretches you, relieving the compression on the lumbar spine and doing some other complicated stuff I didn’t understand. I’ve only been using it for a day, but already, together with rest and icing, I am noticing reduced sciatic pain.
After the weekend I am to restart my core stability exercises and in a couple of weeks I can get back on the turbo trainer to keep my general fitness at a sensible level, though I wont be able to do much.
I’ll be going to Somerset once a week for more treatment and review. Ivor is hoping that in a couple on months I should be starting to see improvements and that eventually, although I will have to avoid heavy impacts and big dynamic stretching, I should be able to regain my MTBing fitness and possibly get back to where I was in 2011.
I am also going to be having a look at my stable of bikes with a look to move to full suspension to protect my back from impacts in the future. More on that in another postin,g but if anyone wants my single-speed rigid On-One Inbred, its up for sale 🙁


